Ai trong chúng ta cũng hiểu rằng cao răng được hình thành từ những mảng bám vào răng khi không được vệ sinh răng miệng kỹ càng. Tuy nhiên, những tác hại của cao răng là gì thì ít được chú ý và tìm hiểu. Hãy để nha khoa Phương Nam giải đáp trong bài viết sau.
1. CAO RĂNG LÀ GÌ?
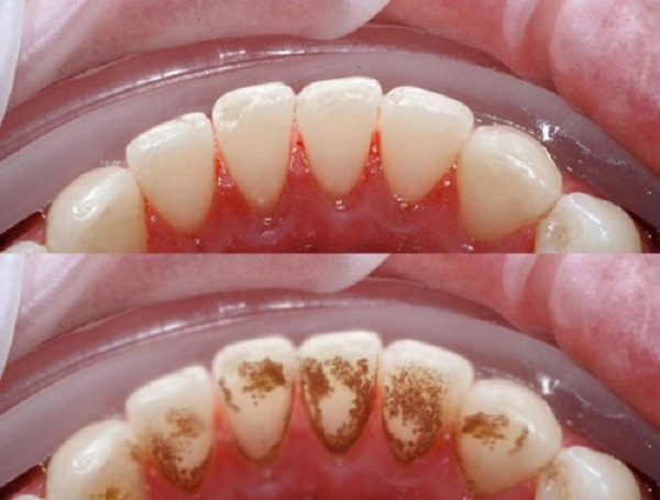
Cao răng, hay còn được gọi là vôi răng, là 1 chất cặn cứng bám chắt vào răng và nướu. Dấu hiệu dễ nhận thấy nhất của cao răng là lớp có màu vàng hoặc nâu trên răng hoặc nướu, tương đối gây mất thẩm mỹ. Vôi răng được hình thành từ hiện tượng vôi hoá từ những những mảnh vụn thức ăn hoặc các chất khoáng trong miệng, chỉ có dụng cụ chuyên dụng mới làm sạch được.

2. TÁC HẠI CỦA CAO RĂNG?

- Cao răng bám trên răng gây cản trở cho việc vệ sinh răng miệng, dễ gây ra tình trạng hơi thở có mùi hôi.
- Độc tố của cao răng gây viêm nướu ở mức độ nhẹ: nướu sưng, đỏ, chảy máu… Bệnh viêm nướu có thể phục hồi trở lại nếu như vôi răng được loại bỏ và duy trì vệ sinh răng miệng đúng cách.Nhưng nếu viêm nướu không được điều trị, cao răng sẽ hình thành nhiều hơn và tồn tại dai dẳng có thể dẫn đến viêm nha chu
- Cao răng là nơi trú ẩn và sinh sôi các vi khuẩn gây nên bệnh răng miệng. Các vi khuẩn này lên men đường trong thức ăn tạo acid và các hợp chất có tính acid làm hỏng men răng, dẫn đến sâu răng
- Viêm nha chu do nhiễm trùng vi khuẩn và xuất hiện các túi ở giữa nướu với răng. Để chống lại viêm, hệ thống miễn dịch của cơ thể sẽ tạo ra các kháng thể và trộn lẫn chúng với vi khuẩn rồi đào thải ra ngoài. Quá trình này có thể khiến cho các mô giữ răng và xương bị hỏng.
3.CÁCH PHÒNG NGỪA CAO RĂNG
Sau khi lấy cao răng cần chú ý chăm sóc răng miệng đúng cách vì lúc ấy men và mô nướu răng rất nhạy cảm, dễ bị vi khuẩn xâm nhập và tích tụ thành mảng bám. Để tránh điều này, hãy:
– Đánh răng 2 lần sáng và tối, dùng xen kẽ với máy tăm nước để loại bỏ mảng bám kẽ răng.
– Chọn bàn chải có lông mềm, đánh răng theo chiều xoay tròn hoặc dọc để tránh làm mòn men răng
– Sau mỗi bữa ăn hãy dùng chỉ nha khoa và nước muối sinh lý/nước súc miệng để loại bỏ mảng bám còn sót lại.
– Hạn chế dùng thực phẩm có màu sậm, nhiều axit, đồ uống có cồn và không hút thuốc lá.
– Hạn chế ăn các thực phẩm bám dính vào bề mặt răng và kẽ răng, tăn cường bổ sung hoa quả tươi và rau củ trong khẩu phần ăn.
– Kiểm tra mảng bám răng định kỳ từ 3 – 6 tháng/lần và lấy cao răng theo lịch hẹn của nha sĩ.

Trên đây là những giải đáp về tình trạng cao răng và những tác hại của chúng, nếu quý khách cần tìm địa chỉ lấy cao răng uy tín, vui lòng liên hệ với nha khoa Phương Nam theo hotline 0941 944 977 hoặc nhắn tin trực tiếp cho bác sĩ tại đây để được tư vấn cụ thể!

Giới thiệu









Bài viết liên quan
09/01/23