Sâu răng, viêm lợi, viêm loét miệng,… chính những vấn đề răng miệng nếu không có sự theo dõi về thói quen ăn uống và vệ sinh răng đúng cách. Nha Khoa Phương Nam sẽ giúp quý phụ huynh tìm hiểu rõ hơn về các bệnh lý răng miệng phổ biến ở trẻ và cách phòng ngừa cho con em chúng ta.
1. MÒN MEN RĂNG – SÂU RĂNG
Là bệnh lý về răng miệng phổ biến nhất của trẻ em và cả người lớn. Sâu răng xuất hiện 1 đốm màu trắng ngà hoặc đen trên răng, nếu để lâu có thể gây viêm tuỷ răng, viêm nướu, hôi miệng, đau nhức răng khiến ăn uống khó khăn, trẻ có thể bị sốt, ảnh hưởng rất lớn đến sức khỏe và quá trình học tập, vui chơi của trẻ.
Nguyên nhân sâu răng bắt nguồn từ việc chưa thực hiện vệ sinh răng miệng sạch sẽ, kèm theo một số thói quen xấu như ăn nhiều đồ ngọt hoặc thức ăn chứa axit làm tăng nguy cơ gây sâu răng. Đặc biệt, răng sữa ở trẻ em bị nhiễm trùng có thể ảnh hưởng đến quá trình mọc nếu không được điều trị.

Điều trị:
- Khi răng mới bắt đầu sâu, cha mẹ nên đưa trẻ đi trám răng càng sớm càng tốt để tránh lây nhiễm sang các răng khác, đồng thời giúp bảo vệ tủy răng của trẻ, không bị ê buốt khi ăn uống.
- Điều trị sâu răng bằng cách bôi gel florua hoặc chải răng bằng thuốc để trám bít lỗ sâu răng. Nếu sâu răng nặng đến mức cần phải cạo sạch ngà răng, nha sĩ sẽ sát trùng, khử trùng và trám bít lỗ sâu, nhổ răng hoặc thay thế tủy răng.
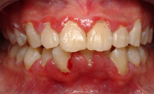
2. VIÊM LỢI
Viêm lợi là tình trạng nướu răng viêm đỏ, sưng lên, dễ chảy máu khi chạm vào. Tình trạng này có thể khu trú ở một vài răng hay có thể xảy ra ở cả hai hàm răng của trẻ. Trẻ cũng có thể hôi miệng và biếng ăn, khi đó bạn cần đưa trẻ đến gặp bác sĩ chuyên khoa.

Điều trị:
- Viêm lợi có thể khiến bé biếng ăn vì khó nuốt, nhưng ba mẹ hãy đảm bảo cho bé uống đủ nước, ăn thức ăn có độ mềm vừa phải,
- Cần làm sạch lợi, lưỡi, răng ngay từ khi bé còn nhỏ bằng gạc mềm với thuốc rơ lưỡi, miệng để bảo vệ sức khỏe răng miệng của trẻ. Trong giai đoạn 1 – 2 tuổi, bạn giúp bé chà răng bằng bàn chải với nước muối pha loãng. Với trẻ từ 3 tuổi trở lên, bé có thể tự chải răng với kem đánh răng trẻ em. Nên đưa con đi khám nha khoa định kỳ 2 – 3 lần/năm để kiểm tra các vấn đề răng miệng.
3. VIÊM LOÉT MIỆNG
Viêm nướu ở trẻ thường xuất hiện những vết loét nhỏ có màu đỏ bao quanh đốm màu vàng nhạt trên nướu, mặt trong má, lưỡi hoăc vòm miệng. Vì vết loét có thể gây đau và khó chịu khi ăn uống hoặc lúc bình thường, do đó trẻ dễ trở nên cáu kỉnh, và không muốn ăn uống nhiều. Viêm loét miệng có thể khiến trẻ sốt cao và suy nhược cơ thể.

Điều trị:
- Cho trẻ súc miệng bằng nước muối sinh lý sau ăn, trước khi đi ngủ, ngủ dậy.
- Tăng cường các loại nước quả giàu vitamin, đặc biệt là C có trong cam, chanh, ổi,… để tăng sức đề kháng cho trẻ.
- Chỉ cần sử dụng thuốc hạ sốt và giảm viêm, hạn chế dùng thuốc kháng sinh khiến trẻ có thể bị tiêu chảy do tác dụng phụ của thuốc kháng sinh.
4. RĂNG MỌC LỆCH LẠC
Răng mọc lệch dễ khiến trẻ đau một bên hàm, hay đau khớp thái dương hàm. Khuôn mặt của trẻ không cân đối, hai hàm trên và dưới phát triển quá mạnh, nhìn nghiêng về phía trước hoặc phía sau. Trẻ em thường bị cắn vào má. Khi khớp cắn 2 hàm, các răng cửa không chạm vào nhau (khớp cắn phía trước), các răng mọc chen chúc, không đủ khoảng hoặc có nhiều khoảng trống giữa các răng… gây khó khăn trong việc ăn uống và mất thẩm mỹ cho gương mặt của trẻ.

Những lệch lạc này có thể được kết hợp bởi các thói quen của trẻ như mút ngón tay cái, đẩy lưỡi, nghiến răng, nằm úp nghiêng về một bên nhiều, không nhổ răng sâu/răng lung lay lâu ngày dẫn đến răng mới mọc không đúng chỗ.
Điều trị:
- Nên cai núm và ngăn bé mút tay khi lên 2 tuổi.
- Theo dõi quá trình mọc răng của con
- Nếu răng trẻ đã mọc đủ hoàn toàn nhưng có dấu hiệu lệch lạc, hãy dẫn trẻ đến nha khoa để được niềng răng từ sớm giúp tiết kiệm chi phí và thời gian điều trị.
4. CÁCH PHÒNG NGỪA CÁC BỆNH LÝ RĂNG MIỆNG Ở TRẺ:

- Bố mẹ nên tạo cho bé thói quen đánh răng 2 lần/ ngày, mỗi lần 2 phút kết hợp với chỉ nha khoa để loại bỏ mảng bám thức ăn lên răng bé ngay từ khi vừa mọc răng sữa đầu tiên.
- Lựa chọn và cho bé sử dụng bàn chải đánh răng chuyên dụng cho bé có lông chải mềm, kích thước vừa vặn với khuôn miệng giúp trẻ thoải mái, dễ chịu khi đánh răng.
- Lựa chọn và sử dụng loại kem đánh răng có lượng fluoride phù hợp với trẻ.
- Hạn chế cho bé ăn uống các loại thực phẩm có chứa nhiều đường, tinh bột vì đây là những loại thức ăn tạo điều kiện để vi khuẩn phát triển và gây ra nhiều mảng bám hơn.
- Hiện nay nha khoa Phương Nam đang có các loại hình dịch vụ kiểm tra, điều trị nha khoa trẻ em; cũng như cung cấp dịch vụ chỉnh nha trong suốt Invisalign thay thế cho mắc cài thông thường, giúp trẻ có cảm giác thoải mái và dễ vệ sinh răng miệng cho trẻ.
Trên đây là 4 bệnh lý phổ biến về răng miệng ở trẻ em, nếu quý phụ huynh cần tư vấn thêm về sức khoẻ răng miệng cho con em, vui lòng liên hệ với nha khoa Phương Nam theo hotline 0941 944 977 hoặc nhắn tin trực tiếp cho bác sĩ tại đây để được giải đáp cụ thể!

Giới thiệu









Bài viết liên quan
10/03/26
04/03/26
09/02/26
07/02/26
28/01/26
20/01/26